Salta al contenuto principale

La Ricerca del DiMIT

Immagine
Cellula - Microscopio elettronico a scansione

Il Dipartimento di Medicina e Innovazione Tecnologica svolge ricerca clinica e traslazionale multidisciplinare, integrando competenze in biomedicina, chirurgia, oncologia, neuroscienze e scienze della salute. 

Le principali linee di ricerca comprendono: morfologia e biomateriali (studio di collagene, tessuti duri, processi di mineralizzazione, tessuto adiposo e impatto di micro/nanoplastiche mediante microscopia ottica/elettronica, AFM, imaging avanzato e stampa 3D); oncologia e immunoterapia (neuro-oncologia, glioblastoma, vaccini antitumorali, oncologia gastrointestinale, biopsia liquida); ricerca clinica in senologia; urologia (ipertrofia prostatica, disfunzione erettile, tumori urologici e caratterizzazione delle cellule NK); cardiologia preventiva e scompenso; farmacologia gastrointestinale e microbiota; fisiologia linfatica; ginecologia oncologica con applicazioni di intelligenza artificiale; microbiologia, virologia e studio del viroma (TTV); pediatria del sonno e neuropsichiatria dell’età evolutiva.

L’attività combina studi sperimentali, modelli 3D e clinic-trials multicentrici, con forte attenzione alla traslazione dei risultati clinici e allo sviluppo di tecnologie e biomateriali per applicazioni terapeutiche.

Le linee e i gruppi di Ricerca

L’attività scientifica del gruppo di Chirurgia è focalizzata sullo sviluppo e sull’implementazione di strategie chirurgiche avanzate.

Le principali linee di ricerca includono:

  • l’ottimizzazione dei risultati del trapianto di rene attraverso metodiche avanzate di valutazione del graft, imaging intraoperatorio e modelli predittivi basati su intelligenza artificiale;
  • lo sviluppo e il consolidamento della chirurgia robotica applicata alla chirurgia trapiantologica, pancreatica ed epato-bilio-pancreatica;
  • la chirurgia pancreatica oncologica, con focus sugli aspetti tecnici delle anastomosi e sull’organizzazione delle Pancreas Unit;
  • la chirurgia endocrina orientata alla prevenzione, riduzione e corretta gestione delle complicanze mediante l’impiego di nuove tecnologie e dispositivi medicali;
  • l’attività di ricerca sulle problematiche oncologiche nei pazienti sottoposti a trapianto d’organo
  • la chirurgia d’urgenza e del trauma viscerale, con studi multicentrici su approcci mini-invasivi e robotici,
  • l’utilizzo di modelli di ricostruzione tridimensionale automatica per la pianificazione chirurgica e la chirurgia di precisione;
  • la ricerca clinica e traslazionale sul melanoma cutaneo, con particolare riferimento agli aspetti chirurgici, alla stadiazione linfonodale, agli esiti oncologici e alla gestione integrata del paziente;

L’attività del gruppo ha una forte valenza traslazionale, formativa e organizzativa, con ricadute dirette sull’assistenza clinica e sulla definizione di nuovi modelli di cura.

 

  • Gruppo di ricerca in Chirurgia generale

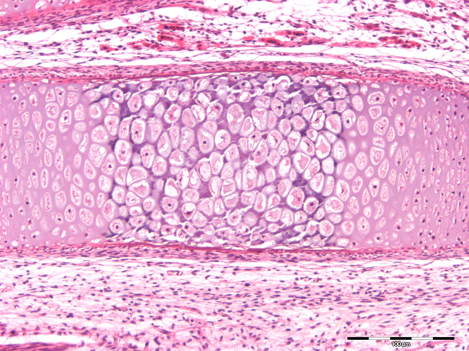
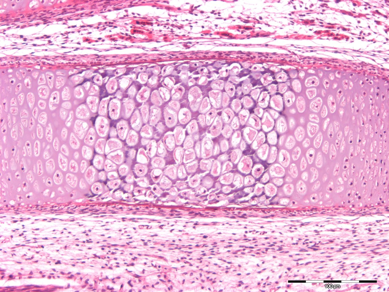
Studio dell’organizzazione delle fibre collagene, della matrice extracellulare e dei processi di mineralizzazione con tecniche di microscopia ottica ed elettronica a trasmissione e a scansione, microscopia a forza atomica, tecniche di imaging avanzato, immunoistochimica, biologia molecolare, scannerizzazione e stampa 3D.

Studio dell’organizzazione e della morfometria delle fibre collagene tendinee e legamentose per evidenziarne eventuali fragilità e valutarne il possibile utilizzo a fini chirurgici per la sostituzione di legamenti lesionati.

L’attività del gruppo riguarda lo studio dei meccanismi che regolano la funzione gastrointestinale in condizioni fisiopatologiche, con l’obiettivo di contribuire allo sviluppo di nuovi trattamenti farmacologici o strategie nutrizionali. Gli interessi di ricerca riguardano l’interazione tra sistema nervoso enterico, immunità innata e microbiota intestinale nello sviluppo di neuropatie enteriche associate a patologie del tratto gastrointestinale, come le malattie infiammatorie croniche intestinali, la sindrome dell’intestino irritabile e il danno da ischemia/riperfusione. Un ulteriore ambito di interesse è rappresentato dallo studio dell’asse microbiota–intestino–cervello, sia per indagare i meccanismi alla base delle sintomatologie neuropsichiatriche associate all’infiammazione intestinale e alla IBS, sia per valutarne il possibile coinvolgimento nell’insorgenza di patologie oncologiche.

  • Gruppo di ricerca in Farmacologia dell’apparato digerente

L’attività scientifica del gruppo riguarda lo studio della formazione e propulsione della linfa mediante l’utilizzo di modelli in vivo ed ex vivo. La ricerca del laboratorio si concentra sulla meccanica vasale, studiando la regolazione che subisce il meccanismo di pompa intrinseca linfatica a seguito dell’esposizione a fattori fisici, chimici e umorali nell’interstizio accanto ai vasi linfatici stessi. Il letto vascolare linfatico oggetto degli studi è rappresentato dai linfatici della cavità toracica, con particolare riguardo a quelli del diaframma.

L’attività scientifica del gruppo è incentrata sulla ricerca clinica e traslazionale in ambito ginecologico, con particolare riferimento alla ginecologia oncologica e alla chirurgia mini-invasiva. I progetti attualmente in corso mirano principalmente allo studio della morbilità chirurgica, con l’obiettivo di migliorare la personalizzazione dei trattamenti attraverso l’integrazione di dati clinici, chirurgici e molecolari.

Le principali linee di ricerca si sviluppano mediante studi osservazionali e prospettici finalizzati alla valutazione degli esiti chirurgici, oncologici e della qualità delle cure e includono:

  • il trattamento chirurgico mini-invasivo del tumore ovarico;
  • la riduzione della morbilità chirurgica nel tumore dell’endometrio;
  • l’utilizzo dell’intelligenza artificiale nella selezione delle pazienti con tumore ovarico avanzato;
  • l’implementazione delle analisi molecolari in sottogruppi di pazienti affette da tumore dell’endometrio;
  • la riduzione della morbilità chirurgica a livello nazionale nell’ambito dell’isterectomia per patologia benigna.

 

L’attività scientifica del gruppo si concentra sulla patologia dell’apparato genitale femminile e in particolare sulla caratterizzazione integrata clinico-patologica e molecolare dei tumori ginecologici. Gli obiettivi sono: 1) identificare le lesioni istologiche o le alterazioni molecolari che precedono lo sviluppo dei tumori ginecologici; 2) migliorare i criteri diagnostici e la classificazione dei tumori ginecologici; 3) identificare marcatori prognostici e predittivi, sia clinico-patologici che molecolari. L’attività di ricerca si basa sull’analisi di campioni tessutali di tumori ginecologici mediante esame istologico, immunoistochimico e molecolare di tipo multi-omico integrato, integrata da dati clinici rilevanti. Questa linea di ricerca mira, dunque, a migliorare la prevenzione, la diagnosi e il trattamento dei tumori ginecologici.

 

  • Gruppo di ricerca in Ginecopatologia

L’attività scientifica è focalizzata sullo sviluppo di strategie vaccinali antitumorali basate sulla stimolazione dei linfociti T CD4+, fondamentali per il coordinamento della risposta immunitaria adattativa. L’approccio è stato validato in diversi modelli murini di tumori solidi. Negli ultimi anni la ricerca si è concentrata sul glioblastoma multiforme (GBM), uno dei tumori cerebrali più aggressivi, attraverso strategie combinate di vaccinazione peptidica e viroterapia oncolitica in modelli preclinici. Un aspetto traslazionale dell’attività prevede l’isolamento di cellule tumorali primarie di GBM da pazienti, modificate per esprimere MHC di classe II. Mediante immunopeptidomica vengono identificati peptidi MHC-II-ristretti come candidati per vaccini peptidici personalizzati. Il gruppo è inoltre impegnato nello sviluppo di vaccini mucosali contro il COVID-19 e nello studio dei meccanismi patogenetici dell’infezione da HTLV-1.

 

  • Gruppo di ricerca in Immunoterapia antitumorale

L’attività si concentra sulla prevenzione delle malattie cardiovascolari, la stratificazione prognostica delle sindromi coronariche acute, lo scompenso cardiaco e l’ipertensione arteriosa sistemica. Negli ultimi anni si è sviluppato anche un filone di ricerca sulle complicanze cardiovascolari dell’infezione da SARS-CoV-2.

  • Gruppo di ricerca in Malattie dell’apparato cardiovascolare

Studio di micro e nanoplatiche rilasciate da materiali dentari in modelli sperimentali in vivo ed ex vivo per valutarne l’impatto su cellule e tessuti, con tecniche di microscopia ottica ed elettronica a trasmissione e a scansione, microscopia a forza atomica, tecniche di imaging avanzato, immunoistochimica, biologia molecolare.

Tutti i membri del gruppo di lavoro del Laboratorio di Morfologia Umana concorrono attivamente alla realizzazione e al progresso delle differenti linee di ricerca.

L’attività scientifica del gruppo, direttamente integrata all’attività assistenziale svolta, è articolata sulle seguenti tematiche di tipo traslazionale e diagnostico-clinico:

  1. Dissezione molecolare della risposta immune di tipo umorale contro vari agenti infettivi, mediante il clonaggio e la caratterizzazione di anticorpi monoclonali umani; 
  2. Studio dell’interazione microrganismo-ospite a livello mucosale, con particolare attenzione al ruolo di contenimento svolto dall’immunità innata;
  3. Valutazione del ruolo del microbioma umano e di altri indicatori microbiologici come possibili marcatori prognostici in pazienti trapiantati e studio dei meccanismi fisiopatologici correlati. 
  4. Sviluppo e validazione clinica di nuove metodiche per la diagnosi e il monitoraggio di infezioni batteriche e fungine, con particolare attenzione alla loro applicazione nella diagnosi rapida di sepsi.
  5. Epidemiologia molecolare e genomica comparativa della resistenza agli antibiotici, con interesse all'identificazione dei marcatori genetici per il tracing batterico e la descrizione di traiettorie evolutive di patogeni multi-resistenti.
  6. Epidemiologia molecolare di patogeni emergenti e riemergenti e di loro varianti specifiche.

 

  • Gruppo di ricerca in Microbiologia e Virologia medica

L’attività scientifica del gruppo riguarda la caratterizzazione dei meccanismi molecolari associati con la progressione del Glioblastoma (GBM). Questo tumore è caratterizzato da un’elevata plasticità ed eterogeneità, con cellule che si trovano in diversi stati reminiscenti delle diverse fasi evolutive. Le cellule MES-like contengono un'alta percentuale di cellule a ciclo lento, definite GBM quiescente (qGBM), importanti per la resistenza alle terapie e per eludere la sorveglianza immunitaria. Il nostro gruppo ha precedentemente individuato ZBTB18 come un repressore trascrizionale dei geni MES e un soppressore tumorale nel GBM. Attualmente il gruppo è coinvolto in diversi progetti finalizzati a comprendere meglio il ruolo di ZBTB18 e di fattori ad esso associato, nel processo di mantenimento dello stato di quiescenza e di regolazione dell’espressione di antigeni tumorali.

 

  • Gruppo di ricerca in Neuro-oncologia molecolare

L’attività scientifica del gruppo riguarda prevalentemente tre ambiti:

  1. I disturbi del neurosviluppo, con focus sui disturbi dell’apprendimento e identificazione precoce degli stessi nei primi anni di scolarizzazione. Dal 2017, attraverso il progetto IndiPote(dn)S è stato istituito un protocollo per individuare precocemente e potenziare bambini dell’ultimo anno della scuola dell’infanzia e dei primi due anni di scuola primaria con indicatori di rischio. Questa progettualità è confluita nel progetto INDACO che ha esteso il protocollo a livello regionale. Nel progetto europeo Essence (Horizon 2020) è stata sviluppata una piattaforma digitale a supporto delle attività di identificazione precoce e potenziamento. Nell’ambito del progetto PRIN “e-School 2.0” (2023-2025), è stata valutata l’efficacia di interventi carta-matita e digitali sulla fluenza grafomotoria nel primo anno di scuola primaria. Le nuove linee di ricerca (2025-2027) mirano alla validazione di strumenti digitali utili per identificazione e potenziamento, includendo serious games e action video games per il training di funzioni attentive e allo sviluppo di soluzioni per telemedicina e teleriabilitazione. Infine, è stato avviato un progetto di monitoraggio del neurosviluppo nei primi 1000 giorni, con particolare focus sull’autismo, utilizzandolo lo strumento teleNIDA (videoregistrazioni nel contesto domestico) a 18-24 mesi di vita.
  2. Le cefalee in età evolutiva.
  3. La Sindrome di Tourette e le altre sindromi ticcose.

 

L’attività scientifica del gruppo riguarda la ricerca clinica e traslazionale nell’ambito dei tumori gastroenterici quali colon-retto, gastroesofageo, epato-bilio-pancreatico e tumori neuroendocrini. Presso l’ Unità Operativa Universitaria di Oncologia dell’ASST Settelaghi di Varese sono attivi studi clinici accademici ed investigator-initiated di fase II e III, multicentrici e promossi da networks di ricerca nazionali ed internazionali. I settori di maggiore attività riguardano il trattamento di I linea del tumore del colon avanzato ed il tumore del colon nell’anziano. L’attività traslazionale è focalizzata all’identificazione di biomarcatori utili alla personalizzazione delle terapie oncologiche ed, in particolare, alla valutazione del ruolo prognostico e predittivo della biopsia liquida nei tumori gastrointestinali, con la valutazione delle mutazioni del DNA tumorale circolante e dei microRNAs di pazienti in trattamento con farmaci chemioterapici e immunoterapici per malattia avanzata.

 

L’attività scientifica del gruppo si concentra sulle neoplasie neuroendocrine, con particolare riferimento a quelle dell’ipofisi e dell’apparato digerente e, in particolare, è dedicata alla caratterizzazione integrata clinico-patologica e molecolare delle neoplasie con l’obbiettivo di migliorare i criteri diagnostici e la classificazione e di identificare marcatori prognostici e predittivi. L’attività di ricerca sul diabete si concentra sull’approfondimento dei meccanismi patogenetici e sull’identificazione di particolari vie metaboliche che possono risultare utili per lo sviluppo di nuove terapie.

 

  • Gruppo di ricerca in Patologia endocrina

L’attività scientifica del gruppo si articola su diversi settori, dei quali i due principali sono:

  1. lo studio dei meccanismi patogenetici e dei profili molecolari (genetici ed epigenetici) dei tumori solidi, con particolare enfasi sulle neoplasie dell’apparato digerente, ginecologiche e del distretto testa-collo. La ricerca è orientata alla validazione clinica di biomarcatori diagnostici, prognostici e predittivi per terapie a bersaglio molecolare e immunoterapici. Il gruppo integra morfologia avanzata (microscopia ottica ed elettronica), immunoistochimica e Next Generation Sequencing (NGS). Inoltre, grazie alla ricerca svolta negli ultimi anni sulle neoplasie neuroendocrine dell’apparato digerente il nostro gruppo è diventato un punto di riferimento internazionale ed è stato coinvolto dall’Organizzazione Mondiale della Sanità (OMS) nella stesura delle classificazioni di queste neoplasie. L’implementazione della Digital Pathology e di algoritmi di Intelligenza Artificiale rappresenta la nuova frontiera per l'ottimizzazione della precisione diagnostica e la gestione di grandi moli di dati. 
  2. lo studio dei meccanismi patogenetici del diabete mellito di tipo 2 e dell’utilizzo di cellule staminali per la correzione del diabete di tipo 1 e delle sue complicanze. In questi studi collaborativi sono stati utilizzati modelli animali e cellule in coltura.

 

  • Gruppo di ricerca in Patologia molecolare

L’attività scientifica del gruppo riguarda:

  • Studio di un nuovo indice per valutare la gravità dei Disturbi respiratori del sonno in pazienti pediatrici
  • Studio dell’associazione tra Disturbi respiratori del sonno ed Asma bronchiale
  • Studio dei disturbi respiratori del sonno nei bambini con malattie genetiche e/o malattie rare ( S.Down, S.Prader Willi, Acondroplasia, Ipoventilazione centrale congenita)
  • Studio di fattori di rischio per SIDS ed eventi ad alto rischio per la vita nel lattante (SUPC,ALTE,BRUE) sia in gravidanza che nel periodo perinatale con particolare attenzione a fattori di rischio ambientale ( esposizione a fumo di sigaretta, droghe o inquinamento da microplastiche)
  • Studio delle possibili correlazioni tra apnee e disturbi gastro-intestinali

 

Studio dei differenti compartimenti del tessuto adiposo del volto, dal punto di vista strutturale ed ultrastrutturale per descriverne l’organizzazione e le modifiche determinate dall’età. 

Studio dei differenti compartimenti del tessuto adiposo viscerale per evidenziarne le differenze a livello ultrastrutturale nell’organizzazione degli adipocoto e della componente della matrice extracellulare. Le indagini che si svolgono sono di natura microscopica ottica ed elettronica, immunoistochimica, biologia molecolare.

L’attività scientifica del gruppo riguarda sviluppo di studi clinici sul trattamento e diagnosi precoce del tumore della mammella.

Protocolli di Ricerca:

  • Co-Investigator nello studio SINODAR-ONE in collaborazione con Istituto Clinico IRCCS – Humanitas Rozzano, Milano (Principal Investigator Dottor Corrado Tinterri), Ottobre 2018 ad oggi.
  • Co-Investigator nello studio LN-NEO01 Studio osservazionale retrospettivo multicentrico finalizzato allo sviluppo di test predittivi dello stato del cavo ascellare dopo chemioterapia neoadiuvante nel trattamento del carcinoma mammario; in collaborazione con Istituti Clinici Scientifici Maugeri – Pavia (2023).
  • Co-Investigator nello studio Localization01 - Studio clinico, multicentrico, retrospettivo di confronto tra metodiche di localizzazione preoperatoria di lesioni della mammella non palpabili in pazienti sottoposte a chirurgia conservativa mammaria; in collaborazione con Istituti Clinici Scientifici Maugeri – Pavia (2024).
  • Co-Investigar nello studio ROLL Versus Magnetic Seed for Preoperative Localization of Non-palpable Breast Lesion: Comparison Between Techniques (SEED01); in collaborazione con Istituti Clinici Scientifici Maugeri – Pavia (2024).
  • Co-Investigator nello studio Proteomic analysis for the detection of salivary biomarkers in early-onset breast cancer; in collaborazione con SC Odontostomatologia ASST-settelaghi di Varese e Dipartimento di Medicina e Innovazione Tecnologica dell’Università degli Studi dell’Insubria di Varese (2025).

 

Linea di ricerca sull’ipertrofia prostatica benigna si focalizza sulla raccolta prospettica di dati clinici, funzionali e strumentali di pazienti sottoposti a trattamento chirurgico dell'IPB mediante tecniche endoscopiche laser (enucleazione con laser a tullio o holmio) e approccio robotico. L'obiettivo principale è quello di confrontare sistematicamente gli outcome funzionali post-operatori oltre al profilo di sicurezza in termini di complicanze peri e post-operatorie. 

Linea di ricerca sulla disfunzione erettile si concentra sulla valutazione dell'efficacia e della sicurezza di terapie rigenerative e biologiche emergenti per il trattamento della DE e della malattia di La Peyronie. Attraverso studi prospettici controllati, valutiamo gli outcome funzionali mediante strumenti validati (IIEF, PGI-S) e parametri obiettivi (eco-color-Doppler penieno dinamico, goniometria). L'obiettivo è identificare i profili di pazienti maggiormente responsivi a ciascun trattamento, ottimizzando protocolli terapeutici personalizzati. 

Linea di ricerca sui tumori urologici si focalizza sulla caratterizzazione immunofenotipica e funzionale delle cellule NK in pazienti affetti da carcinoma vescicale, renale e prostatico. L’obiettivo principale è identificare biomarcatori immunologici predittivi di risposta ai trattamenti e di prognosi, nonché potenziali target per strategie terapeutiche immunomodulanti. 

 

  • Gruppo di ricerca in Urologia

Il gruppo di ricerca studia la persistenza del Torque Teno Virus (TTV) e la sua interazione con il sistema immunitario, con l’obiettivo di comprendere i meccanismi che regolano la stabilità del viroma umano e di valorizzare il TTV come indicatore funzionale dello stato immunitario dell’ospite. Poiché i processi di persistenza virale sono ancora poco compresi, anche per la carenza di modelli sperimentali adeguati, il gruppo sviluppa e utilizza modelli cellulari tridimensionali in grado di ricostruire microambienti tissutali complessi e condizioni immunitarie differenziate, incluse situazioni di immunosoppressione. Attraverso approcci integrati di coltura cellulare avanzata, virologia molecolare e immunologia sperimentale, vengono analizzate la replicazione e la persistenza del TTV, i meccanismi di immunomodulazione e i determinanti dell’ingresso virale. L’attività di ricerca mira a supportare lo sviluppo di strumenti diagnostici basati sul viroma e a rafforzare l’impiego del TTV come biomarcatore di immunocompetenza in diversi contesti clinici, inclusi il trapianto, le terapie immunosoppressive e l’ambito oncologico, grazie anche a collaborazioni cliniche a forte valenza traslazionale.

 

I centri di ricerca

I centri di ricerca afferenti al dipartimento operano in stretta collaborazione con enti sanitari, istituzioni pubbliche e partner nazionali e internazionali.

Immagine
Colture cellulari

Centro di ricerche in chirurgia mini-invasiva

Direttore: prof. Nicola Rotolo

Centro di ricerche in senologia

Direttore: prof.ssa Francesca Rovera

Documenti utili

Centro di ricerche per lo studio e lo sviluppo dei trapianti d'organo

Direttore: prof. Giulio Carcano

Centro di ricerche in radiologia interventistica

Direttore: Prof. Massimo Venturini

Centro di ricerca di alta specializzazione sulla patologia della parete addominale e sulla chirurgia riparativa delle ernie addominali

Direttore: prof. Giampiero Campanelli

Centro di ricerca in chirurgia d'Urgenza e del trauma

Direttore: prof. Giulio Carcano

Centro di ricerca per lo studio dei tumori eredo-familiari

Direttore: prof. Stefano La Rosa

Centro di Ricerca Insubria Experimental Imaging Center (IEIC)

Direttore: prof. Massimo Venturini

Centro di Ricerca in Ginecologia oncologica e chirurgia mini-invasiva

Direttore: Jvan Casarin

Centro di ricerca innovative technology and engineered biomaterials

Direttore: prof. Davide Farronato

Centro di ricerca in Chirurgia Robotica

Direttore: dott. Giuseppe Ietto

I risultati della ricerca

Il deposito istituzionale della Ricerca dell'Ateneo, dove sono raccolte, conservate e documentate le informazioni sulla produzione scientifica, utile per la loro disseminazione è IRInSUBRIA - Deposito Istituzionale ad accesso pubblico (che comprende anche le tesi di dottorato).

Per saperne di più: